|
|
 |
Sonntag, 12. Oktober 2025, 12. Tag der Läufigkeit;
Ich hatte 2 Tage vorher einen Progesteron Wert bestimmen lassen, der, wie zu erwarten, nicht sonderlich erhöht war. Da Daica bislang sich immer am 12. / 13. Tag hatte decken lassen und es bei mir zeitlich gut passte, beschloß ich mit ihr nach Klötze (Sachsen Anhalt) zu fahren um Leo einen Besuch abzustatten. Es begann gerade zu dämmern, als wir ankamen. Tja, was soll ich sagen…. Es war alles recht einfach und entspannt. Daica wurde von Leo am Gartenzaun mit großen Augen erwartet. Leo ist ein sehr „angenehmer Rüde“. So ließ er Daica erst einmal etwas Zeit anzukommen, bedrängte sie nicht sofort. Die Beiden liefen ein Weilchen im Garten rum, Daica lockte etwas, präsentierte sich und verschwand wieder. Etwas Paarlauf, und es erfolgten die ersten Aufreitversuche. Ich nahm Daica für ein viertel Stündchen aus der Situation, und brachte sie ins Auto. Als ich sie dann wieder in den Garten holte ging alles recht fix. Daica stand, lockte, nahm die Rute zur Seite und Leo ergriff seine Chance, es wirkte alles sehr harmonisch. Es dauerte ca. 1/2 Stunde, bis die beiden sich wieder voneinander trennten. Am nächsten Vormittag wiederholte sich das Gestrige. Daica und Leo spielten das gesamte Repertoire des Paarungsverhalten gesunder, triebstarker Hunde ab, nur noch etwas schneller als am Vortag.
Zufrieden und zuversichtlich traten wir die Heimreise an. Jetzt heißt es …geduldig warten…
|
 |
|
|
- 1. Woche 13. - 19. Oktober 2025
Für den Fall, dass Ihre Hündin Medikamente nehmen muss, gehen Sie bitte zum Tierarzt und besprechen Sie die Medikamentenvergabe bevor Sie dem Tier ein Medikament verabreichen. Die Hündin sollte normal gefüttert und normal bewegt werden. Bitte keine Insektizide benutzen oder Impfungen mit lebend Stoffen verabreichen.
So 12. 10. 2025 Erster Deckungstag. Das Sperma wandert außerhalb der Gebärmutterschleimhaut. Um die Chancen einer Befruchtung zu erhöhen, sollte der Deckakt innerhalb von 48 Stunden nach dem ersten Deckakt wiederholt werden. Mo 13. 10. 2025 Das Sperma wandert zu den Eileitern. Die Spermien bleiben in den weiblichen Geschlechtsorganen eine Zeitlang befruchtungsfähig. Bei den Säugetieren ist diese Zeit im allgemeinen recht kurz (ca. 24 Std). Montag, den 13. 10. 2025

- Wir haben uns gestern zum Nachdecken verabredet. Leon und Daica machen da weiter, wo sie gestern aufgehört haben, sie vertrödeln keine Zeit. Die beiden passen sehr gut zusammen, sind sich sympathisch. Sie flirten ein wenig und laufen im Garten aber es dauert keine 10 Minuten und sie kommen zur Sache. . Zufrieden, mit einer gedeckten Hündin mache ich mich auf den Heimweg. Und jetzt, jetzt ist warten angesagt.
- Mi 15. 10. 2025
Sperma erreicht die Eileiter, in denen sich reife Eizellen befinden. Mi 15. 10. 2025 - Do 16.10. 2025 Befruchtung der Eizellen (in den Eileitern). Do 16. 10. 2025 - Sa 18. 10. 2025 Die befruchteten Eizellen wandern in den Gebärmutterhals.
2. Woche 20. – 26. Oktober 2025 Pflege und Haltung der Hündin wie in der 1. Woche.
Mo 20. 10. 2025 - Fr 24. 10. 2025 Die Eizellen entwickeln sich zu Blastocysten. Donnerstag, den 23. 10. 2025 Heute war ich mit Daica bei der Tierärztin und habe sie gegen Herpes impfen lassen. Sicher ist sicher. Daica wiegt 28 kg, ich war etwas überrascht, hätte sie eher mit 30 kg eingeschätzt. Naja mir ist es etwas schlanker lieber, als zu schwer. Fr 24. 10. 2025 - So 26. 10. 2025 Die Embryos erreichen die Gebärmutter.
3. Woche 27. Okt. – 02. November 2025 Die Hündin leidet möglicherweise unter morgendlicher Übelkeit aufgrund der hormonellen Umstellung oder Spannungen in der Gebärmutter. Füttern Sie kleine Mahlzeiten mehrmals am Tag, um gegen die morgendliche Übelkeit zu helfen. Falls die morgendliche Übelkeit anhält, kann der Tierarzt ein Mittel verschreiben, um die Gebärmutter zu beruhigen. Manche Hündinnen fressen ab dem 20. Tag für einige Tage gar nichts oder zumindest sehr wenig. In der Regel pegelt sich ihr Fressverhalten danach wieder ein. Viele Hündinnen sind jetzt besonders anhänglich.
Mo 27. 10. 2025 - Mo 03. 11. 2025 Am 19. Tag setzen sich die Keimbläschen (sog. Blastozyten) in der Gebärmutterwand fest. Diese formen embryonale Bläschen. Ab dem 21. Tag sondern viele Hündinnen zähflüssigen, klaren Schleim ab. Das ist das eindeutigste Zeichen, dass der Deckakt geklappt hat.
4. Woche 03. – 09. November 2025 Am 22. Tag sind die Embryonen sichtbar. Der Herzschlag kann zur Diagnose der Trächtigkeit herangezogen werden. Anstrengende Aktivitäten sind jetzt zu vermeiden. Die Proteinzufuhr im Futter kann erhöht werden. Hierfür eignet sich sehr gut die Gabe von Welpenfutter. Zu diesem Zeitpunkt kann mit einer Ultraschalluntersuchung der Zustand der Trächtigkeit festgestellt werden. Besprechen Sie mögliche Risiken einer solchen Untersuchung mit dem Tierarzt.
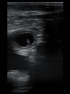
So 02. 11. 2025 - Mo 10. 11. 2025 Die Augen und die Nervenstränge im Rückenmark werden gebildet. Die Organbildung beginnt. In dem derzeitigen Zustand sind die Embryonen sehr stark defektgefährdet. Die Entwicklung der Zitzen beginnt. Mittwoch, den 05. 11. 2025 Heute waren wir mit Daica bei der Tierärztin, die Ultraschalluntersuchung stand an. Ich war mir eigentlich s chon seit mehr als einer Woche sicher, daß “es“ geklappt hat, Daica ist im Wesen etwas verändert. Sie ist sehr verschmust und ich konnte bereits kleine körperliche Veränderungen feststellen. Wir haben bei der Untersuchung 5, 6 Früchte erkennen können und gehen jetzt, wenn alles glatt läuft, von einem starken Wurf Mitte Dezember aus. Der Daica geht`s gut. Sie ist fit.
Do 06. 11. 2025 - So 09. 11. 2025 Dies ist der beste Zeitpunkt, um die Trächtigkeit anhand des Herzschlags zu diagnostizieren. Die Embryonen sind etwa walnussgroß und gleichmäßig im Uterus verteilt. Samstag, den 08. 11. 2025
 Eine Drückjagd wollten wir noch laufen, bevor es zu eng wird bei Daica. So machten wir uns auf den Weg nach Hünxe um mit und bei Freunden an einer Jagd teilzunehmen. Ich war mit Daica sehr zufrieden. Die hat fleißig und mit Erfolg gestöbert. Wir hatten einen rundum zufriedenen, schönen Jagdtag.
- 5. Woche 10. – 16. November 2025
Die Hündin hört auf, die Beine anzuziehen, weil das Gewicht ansteigt und die Welpen sich drehen. Das Anschwellen der weiblichen Scham wird merkbarer. Bitte achten Sie auf das Gewicht der Hündin und überfüttern Sie nicht. Die Herzschlag ist aufgrund der ansteigenden Flüssigkeit in der Gebärmutter nicht mehr länger als Diagnosemethode nutzbar.
Die 11. 11. 2025 Zehen, Barthaare und Krallen beginnen sich zu entwickeln. Dienstag, den 11. 11. 2025 Heute habe ich -außer mir sieht den niemand- bei Daica deutlich erkennbar einen Bauchansatz gesehen. Nun entwickeln sich die Zwerge auch offensichtlich. Donnerstag, den 13. 11. 2025 Daica und Benita sind bei der regelmäßigen Kirr- und Fallenrunde immer dabei. Daica leistet ihren eigenen Beitrag für ihre Gesundheit getreu dem Motto: “one apple a day keeps the doctor away”... So 16. 11. 2025 Die Ausbildung der Organe ist abgeschlossen. Die Föten sehen nun aus wie Hunde. Kopf und Rumpf sind unterscheidbar. Das Geschlecht ist bestimmbar. Die Fellfarbe beginnt sich zu entwickeln. Der Herzschlag der Föten ist per Stethoskop hörbar. Die Zitzen der Hündin werden dunkler
6. Woche 17. – 23. November 2025 Machen Sie die Hündin mit der Wurfkiste vertraut. Lassen Sie sie dort schlafen. Erhöhen Sie die Anzahl der Mahlzeiten und behalten Sie ihr Gewicht im Auge.
20., 21. 11. 2025
 Den Beiden geht`s sehr gut und sie vertragen sich. Das neue Auto wurde getestet und für gut befunden.
Wir haben nun die Futterration um ca. 1/3 erhöht, Daica frißt gierig.
Samstag, den 22. 11. 2025
Treibjagd am Niederrhein. Daica arbeitet wunderbar, ist in ihrem Element. Sie steht vor, apportiert Hasen und Fasan, singt beim Blasen gewohnt ordentlich mit und scheint diesen Tag zu genießen. Ich tue das auf jedem Fall, denn das war nun unsere letzte gemeinsame Jagd bevor die Welpen kommen. Daica geht jetzt hoch offiziell “in Mutterschutz”.
7. Woche 24. – 30. November 2025 Die Hündin sollte jetzt nicht mehr mit anderen Hunden rauhe Spiele spielen oder springen. Per Röntgenaufnahme lassen sich Anzahl und Größe der Hündchen bestimmen. Die Hündin sollte nur dann geröntgt werden, wenn Schwangerschaftsprobleme auftauchen oder zu diesem Zeitpunkt noch immer unsicher ist, ob sie tatsächlich Welpen bekommt. (z.B. Verdacht auf Einfrüchtigkeit) Ansonsten stellt das Röntgen eine unnötige Belastung dar. Ab der 7. Woche messen Sie der Hündin einmal täglich rektal die Temperatur und notieren diese Werte.
 Mittwoch, den 26. 11. 2025 Daica sieht richtig schön trächtig aus, hat auch schon rd. 4 kg an Gewicht zugelegt. Wir füttern jetzt aufgeteilt auf drei Portionen.
Do 27. 11. 2025. Die Knochen verstärken sich. Die Welpen können nun leicht unter der Bauchdecke ertastet jedoch noch schlecht gezählt werden. Die Haare am Bauch der Hündin fallen aus.
Es ist uns wichtig, Daica ausreichend Bewegung zu verschaffen. Hier hat sie mal wieder was gefunden, was sie auch sogleich bringt. Guter Hund findet immer Wild / Guter Hund findet immer was
Samstag, den 29. 11. 2025 Wir haben die Wurfkiste aufgebaut, für die sich Daica jedoch noch nicht interessiert. Wenn wir ins Revier fahren, steht Daica zum ein- und aussteigen mittlerweile eine Rampe zur Verfügung. Sie schreitet quasi ins Auto, hat ganz schön zu schleppen. 8. Woche 01. – 07. Dezember 2025 Die Hündin hat weniger Hunger, was durch den Platzmangel im Bauch verursacht wird. Unterrichten Sie Ihren Tierarzt über den zu erwartenden Geburtszeitpunkt und erörtern Sie mit ihm mögliche Probleme. Stellen Sie die Utensilien für die Geburt zusammen und bereiten Sie alles vor.
Mittwoch, den 03. 12. 2025 Daica wird die zweite Herpes Impfe verabreicht, es läuft alles nach wie vor total entspannt. Die Welpen scheinen sich weiterhin gut zu entwickeln, Daica`s Gewicht beträgt heute 35 kg, sie hat nun fast 7 kg zugenommen. Das ist ordentlich und läßt uns einen starken Wurf erwarten.
Mo 01. 12. 2025 - So 07. 12. 2025 Die Hündin verbringt sehr viel mehr Zeit mit der eigenen Körperpflege. Die Zitzen schwellen weiter an. Die Hündin wird unruhiger und sucht einen geeigneten Platz fürs Werfen. Sorgen Sie dafür, dass sie den Platz fürs Werfen so angenehm wie möglich vorfindet. Je nach Rasse kann man kleine Handtücher oder Waschlappen auf die Unterlage der Wurfkiste legen, um der Hündin Material für ihren "Nestbau" zu geben.
Die 02. 12. 2025 Füttern Sie mehrere kleinere Mahlzeiten am Tag, da der Bauch beengt ist. Die Bewegung der Welpen im Mutterleib ist leicht erkennbar, wenn man die flache Hand vorsichtig auf den Bauch der Hündin legt. Sie muss dazu völlig entspannt sein. Die 02. 12. 2025 - So 07. 12. 2025 Säubern Sie Bauch und Schambereich mit warmem Wasser. Kürzen Sie das Haar rund um die Zitzen, um den Welpen den Zugang zu erleichtern.
9. Woche 08. – 14. Dezember 2025 Möglicherweise hat die Hündin keine Appetit mehr, wenn die Zeit der Niederkunft naht.
Montag, den 08. 12. 2025 Ab dem heutigen Tag beginnen wir damit, morgens und am Abend nach dem Füttern die Temperatur zu messen in der Hoffnung, den u. a. signifikanten Temperaturabfall vor dem Wölfen zu registrieren, der bei unseren Hündinnen aber noch nie so stark ausgefallen ist, wie unten beschrieben. Daica wird mittlerweile 4 x am Tag in etwas kleineren Portionen gefüttert. Dienstag, den 09. 12. 2025
Heute konnten wir die ersten Bewegungen der Welpen eindeutig erkennen bzw. spüren. Nicht viel mehr als ein kleines glucksen, mal oben, mal unten, rechts oder links. Es scheint alles in Ordnung, die Zwerge geben Lebenszeichen von sich. Die Bewegungen der Welpen werden von Tag zu Tag immer deutlicher, die Welpen immer kräftiger. Daica hat wohl “nen Tumult” im Bauch und nimmt dies mit der ihr eigenen Gelassenheit.
Mi 10. 12. 2025 - Sa 13. 12. 2025 Die Hündin wird ruhelos und beginnt 'Nestbau' Verhalten zu zeigen. Do 11. 12. 2025 Messen Sie nun morgens und abends die Temperatur der Hündin. Die normale Temperatur schwankt je nach Rasse und Alter der Hündin zwischen 37,5 und 39,4 Grad Celsius. Gerade wegen der großen Schwankungsbreite ist es wichtig, die normale Körpertemperatur zu kennen (Messungen 7. Woche). Wenn die Temperatur um ca. 1,5 bis 2 Grad Celsius fällt, werden die Welpen innerhalb der nächsten 6- 24 Stunden geboren.
Die Trächtigkeit gestaltet sich bislang wie im Lehrbuch und heute konnten wir mehrfach beobachten, wie Daica ab und an für ein paar Minuten hechelte. Sa 13. 12. 2025 Die Hündin wirkt möglicherweise unglücklich, ruhelos, läuft immer hin und her und fühlt sich offensichtlich unwohl. Es kann sein, dass sich weisse Scheidenflüssigkeit absondert. Daica will heute nicht so richtig fressen, verweigert am Morgen das Futter und frisst max. die Hälfte von dem, was sie sonst so verputzt. Nach wie vor nimmt sie aber gerne das Wachtelei, das sie von mir täglich bekommt Heute nehme ich sie das vorerst letzte Mal mir zur Revierrunde, es scheint schwierig selbst mit der Rampe ins Auto zu gelangen. Ich habe die Befürchtung, daß sie mir abrutschen und ggf. stürzen könnte. Daica hat mittlerweile 10 kg zugenommen., sie läuft ja eh nicht mehr so flott und trottet uns (dem Teckelchen Benita und mir) hinterher, so mache ich jetzt nur noch kurze Runden und bleibe in der Nähe des Hauses. Im Garten lassen wir sie auch nicht mehr von der Leine, denn sie hat begonnen Wurfhöhlen zu graben. Es ist schon erstaunlich zu sehen, mit welcher Kraft und Energie die Hündin gräbt und gräbt und gräbt. So 14. 12. 2025 Der vorausberechnete Tag der Geburt. Viele Hündinnen werfen zwischen dem 58. und 63. Tag. Einige lassen sich auch bis zum 66. Tag Zeit. Beobachten Sie Ihre Hündin vor allem bei Verspätungen sehr genau. Übelriechender, dunkler Ausfluss ist ein Alarmzeichen, sofort den Tierarzt aufzusuchen. Spätestens am 66. Tag muss ohnehin ein Tierarzt konsultiert werden. Es könnten Geburtsprobleme wie zu große oder abgestorbene Welpen vorliegen. Dann kann nur schnelles Handeln das Leben von Mutter und Welpen retten. Ja, heute ist der vorausberechnete Tag der Geburt... Tja, was soll ich sagen, die Daica nimmt es anscheinend sehr genau, und will ihre Welpen heute wohl zur Welt bringen. Heute Morgen haben wir eine hechelnde Daica, die ruhelos die Ecken absucht, hechelt, in die Wurfkiste geht, dort scharrt, dort schläft und wieder hechelt. Eine Daica, die vor der Tür steht, die nach draußen will, draußen gräbt sich löst und pinkelt... 20 x in Folge, und dann wieder ins Haus will... kurzum eine Daica, die kurz vor dem Wölfen steht. Das Fressen hat sie -mit Ausnahme des geliebten Wachteleis- heute komplett verweigert.
Wir verabschieden wir uns nun, bis die Welpen da sind. Drückt uns die Daumen, daß alles glatt, ohne Komplikationen verläuft.
So, da sind wir wieder 20.12. 2025 U nsere Welpen sind da! Daica lief am Sonntag noch die halbe Nacht hechelnd durch das Haus und gegen 2:00 Uhr entschieden wir uns dann doch noch mal zu versuchen etwas zu schlafen. Das tat gut. Gegen 4:30 Uhr hörte ich Daica, die in ihrem Kennel (Bettchen) lag, dann einmal derbe aufstöhnen und pressen. Wer das einmal gehört hat und seine Hündin kennt, weiß, jetzt kann man sich beeilen. Wir sind also runter zur / in die Wurfkiste und es war dann um 5:00 so weit, die erste Hündin war geboren.. Daica wölfte innerhalb der ersten Stunde vier Hündinnen und legte dann erst mal eine wohlverdiente Pause ein. Unsere Unterstützung war nicht gefragt, aber wir waren da, falls sie uns brauchen würde. Daica macht alles alleine. Ist die Frucht rausgepreßt, wird die Hülle aufgerissen, der Zwerg abgenabelt und die Nachgeburt sofort verschlungen. Nach einer Stunde kam dann ein Rüde (endlich) für den Daica sich sehr anstrengen mußte. Obwohl er “nur” 495 Gramm wog, schien es extrem schwieig für Daica. Nach einer weiteren Stunde kam der Nächste Rüde. Es setzte eine lange Pause ein. Und Daica, die war mittlerweile platt, richtig erschöpft. (Man neigt ja dazu mitzupressen, leidet quasi mit, aber das hilft dem Hund gar nicht.) Vier Stunden später die nächste Hündin, dann nach 1/4 Stunde eine weitere Hündin. Wir wollten es gar nicht glauben. Hündin Nr. 6 lag in der Wurfkise. Daica brauchte wieder eine ganze Weile zur Regeneration, erholte sich ein wenig und wir warteten geduldig. Der letze Welpe, wieder eine Hündin, kam dann um 16:20Uhr. Somit war zumindest der aktive Teil des Wölfens erledigt. Daica hat einen starken Wurf 2,7 gewölft. Wir sind stolz auf sie, wie sie alles gemeistert hat und mit welcher (Instinkt) Sicherheit sie Ihre Welpen behandelt und nun säugt und pflegt.... keine Selbstverständlichkeit in der heutigen Zeit.

darf ich vorstellen: Die J-chen von der Galgenheide *15. 12. 2025 (2,7)
|
|